Transposition of the Great Arteries (TGA)

In a healthy heart, the aorta carries oxygen-rich blood from the left ventricle to the body, and the pulmonary artery carries oxygen-poor blood from the right ventricle to the lungs. In TGA, these two arteries are switched.

This means the heart pumps oxygen-rich blood right back to the lungs instead of to the body, and oxygen-poor blood is sent back around the body instead of being refreshed. Without correction, this condition is life-threatening.

The fix is a procedure called the arterial switch operation, in which a surgeon literally detaches the two great arteries and reattaches them in their correct positions. It is one of the most delicate operations in all of pediatric medicine.

“I was born December 20, 2000, weighing 6 lbs 8 oz. I was born at 35 weeks and three days — I guess I was in a hurry to be born! Lucky for me I had Dr. Redmond Burke and his miraculous staff who did my surgery at Miami Children's Hospital.”
— Elyse

The clip below, courtesy of nicklauschildrens.org, illustrates the congenital defect and how the correction is made.

🎥 TGA Surgery — courtesy of nicklauschildrens.org

Watch a TGA surgery here: https://www.nicklauschildrens.org/medical-services/pediatric-cardiology ↗

Elyse's Surgical Journey

On December 20, 2000, Elyse Garcell was born. What followed were months of incredible courage, gentle care, and small victories — all documented by her family in these precious photographs.

⚠️ Some photos include medical imagery from surgery and recovery. They are shared with love as a testament to Elyse's strength.

Cardiac Catheterizations

As Elyse grew, her heart needed continued monitoring. She underwent two cardiac catheterization procedures — one in 2003 and one in 2010.

First Catheterization — Dr. Evan Zahn

In 2003, Elyse underwent a catheterization procedure at Miami Children's Hospital, performed by Dr. Evan Zahn. Below are some pictures that Dr. Zahn provided. She left the hospital the same day — remarkable!

Catheterization 2003 - Before
Before the procedure
Catheterization 2003 - Balloon
Balloon picture
Catheterization 2003 - After
After the procedure

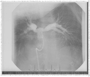
Second Catheterization — Dr. Danyal Khan

In 2010, Elyse underwent her second catheterization procedure, overseen by Dr. Danyal Khan at Miami Children's Hospital. The procedure focused on her pulmonary arteries, and these images show the before and after.

2010 - Left Pulmonary Artery Before
Left Pulmonary Artery — Before
2010 - Before Procedure
Before the procedure
2010 - Left Pulmonary Artery After
Left Pulmonary Artery — After
2010 - Pulmonary Artery Ballooned
Pulmonary Artery ballooned